Keystone Medical Group

Home » Concussion Therapy
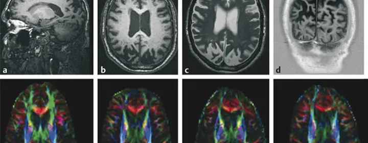
dti imaging kansas city

Traumatic Brain Injury (TBI) - Specialists Providing Advanced Care and Diagnostics

Traumatic brain injury (TBI) is a complex and often life-altering condition resulting from a sudden, violent blow or jolt to the head or body. In the context of car accidents, TBIs commonly occur due to the force of impact during collisions, sudden deceleration, or the striking of objects within the vehicle. These injuries can range from mild concussions with temporary symptoms to severe, debilitating trauma with long-lasting effects on cognitive function, memory, mood, and overall quality of life.
At Keystone Medical Group, we recognize the critical importance of accurate diagnosis in guiding effective treatment for TBI. We utilize state-of-the-art diffusion tensor imaging (DTI), a specialized MRI technique that provides detailed insights into the structural integrity and connectivity of the brain’s white matter. Dr. Buechner, our esteemed interventional neuroradiologist, meticulously analyzes these advanced imaging studies to identify subtle abnormalities indicative of TBI, enabling precise and targeted interventions.

Beyond diagnosis, our commitment to excellence extends to the forefront of TBI therapy.

Auto Accident Injury Care Kansas City

Kansas City’s Leading Clinic for TBI Diagnostics and Therapy

Traumatic brain injury (TBI) represents a serious health concern worldwide, often resulting from sudden trauma or impact to the head. Car accidents stand as one of the leading causes of TBI, given the high velocities and forces involved in collisions. Whether from direct impact, sudden deceleration, or penetrating injuries, the brain can sustain damage ranging from mild concussions to severe hemorrhages or contusions. Unfortunately, TBI is alarmingly common, with millions of cases reported annually across the globe. Despite its prevalence, effective therapies for TBI remain limited, leaving many individuals grappling with long-term cognitive, emotional, and physical challenges. However, amidst this landscape, our owner, David Buechner, MD, offers a beacon of hope. With a patent-pending TBI therapy, Dr. Buechner pioneers a groundbreaking approach to treating brain injuries, providing new avenues for recovery and improved quality of life for patients facing this devastating condition.

Understanding Traumatic Brain Injury

TBI occurs when the brain experiences sudden trauma, leading to structural or functional impairment. The severity of injury can range from mild concussions to severe brain damage. Symptoms can be immediate or delayed and may include:

  • Headaches and migraines

  • Dizziness and balance problems

  • Nausea and vomiting

  • Cognitive deficits including memory, attention, and processing difficulties

  • Emotional changes, including anxiety, depression, and irritability

  • Fatigue and sleep disturbances

  • Neck pain and musculoskeletal issues

Proper diagnosis is crucial for determining the most effective course of treatment. We utilize advanced neuroimaging, including diffusion tensor imaging (DTI), to identify subtle brain changes and guide individualized therapy plans.

dti scan kansas city

Why Choose TBI Therapy in Kansas City

Patients in Kansas City and surrounding areas benefit from access to advanced therapies, experienced clinicians, and personalized treatment plans. Our TBI program is designed to:

  • Provide a comprehensive evaluation and diagnosis

  • Integrate innovative therapies such as acellular nanoparticle treatment

  • Offer cognitive, mental health, functional, and cervical rehabilitation

  • Support recovery for patients with concussions, moderate TBI, or severe brain injuries

By combining advanced diagnostics with individualized therapy, patients can achieve measurable improvements in cognitive function, physical abilities, and overall quality of life.

Functional Rehabilitation

Functional rehabilitation focuses on improving physical abilities and daily living skills affected by TBI. This therapy addresses:

  • Balance and coordination deficits

  • Gait and mobility impairments

  • Strength and endurance limitations

  • Fine and gross motor skill retraining

Functional rehabilitation is tailored to each patient’s specific deficits. Therapy sessions include exercises to restore movement patterns, improve strength and flexibility, and enhance overall physical function. By integrating functional rehabilitation with cognitive and mental health therapies, patients experience a more complete recovery.

vestibular rehab in overland park
therapist for ptsd car accident

Mental Health Support

Traumatic brain injuries often have a profound impact on mental health. Patients may experience depression, anxiety, irritability, and mood swings. Addressing mental health is crucial for recovery and overall well-being.

Our mental health support includes:

  • Individual therapy to manage emotional changes post-injury

  • Cognitive-behavioral techniques to address negative thought patterns

  • Stress management strategies to reduce anxiety and fatigue

  • Integration with other therapies to ensure holistic recovery

Providing mental health support alongside physical and cognitive rehabilitation ensures patients receive comprehensive care and maintain motivation throughout the recovery process.

Cognitive Rehabilitation

Cognitive rehabilitation is an essential component of TBI therapy, focusing on restoring mental functions affected by brain injury. This therapy addresses:

  • Memory deficits and forgetfulness

  • Attention and concentration difficulties

  • Executive functioning, including planning, organization, and decision-making

  • Processing speed and problem-solving abilities

Our cognitive rehabilitation program utilizes structured exercises, computerized cognitive training, and real-world strategies to help patients regain independence and improve daily functioning. Progress is closely monitored to adapt exercises to each patient’s evolving needs, ensuring targeted and effective recovery.

cognitive rehab kansas city
vestibular therapy car accident

Concussion Rehabilitation and Exercise Program

Our CORE program is designed by Lance Stevenson, and it’s goal is to address the underlying drivers of post-concussion syndrome (PCS) symptoms. It is an evidence-based program that combines targeted exercise, physical rehabilitation, and functional therapy to help patients recover from concussions and mild traumatic brain injuries.

The program begins with a comprehensive assessment of each patient, including cognitive, vestibular, cervical, and functional evaluations. Based on these findings, a personalized plan is developed that addresses the specific impairments contributing to PCS symptoms such as headaches, dizziness, fatigue, cognitive deficits, and balance issues.

Exercise and rehabilitation are central to the program. Structured physical activity is used not only to restore strength, mobility, and endurance but also to promote neural recovery and improve autonomic regulation. Patients engage in progressive exercise routines designed to challenge the brain and body safely, improving tolerance to activity and reducing symptom severity over time.

This program is designed to promote neural recovery, improve function, and reduce the risk of long-term complications. By combining multiple therapeutic strategies, patients experience measurable improvements in mobility, cognition, and overall quality of life.

Acellular Nanoparticle Therapy for TBI

Acellular nanoparticle therapy is a cutting-edge regenerative treatment designed to support brain healing without the use of living cells. Derived from biologic sources, these nanoparticles deliver growth factors and signaling molecules to injured brain tissue, promoting neurorepair and reducing neuroinflammation.

Key benefits of acellular nanoparticle therapy include:

  • Supporting neural regeneration and synaptic repair

  • Reducing inflammation in the brain

  • Enhancing cognitive function and processing speed

  • Complementing other therapies such as cognitive rehabilitation and vestibular therapy

This therapy is integrated into our TBI program to maximize recovery potential for patients who have experienced concussions or more severe brain injuries.